Życie Uczelni nr 142

  Wspólny doktorat z uczelnią w Dortmundzie

Dr inż. Magda H. Barecka w towarzystwie profesorów (od lewej): Gerharda Schembeckera, Piotra Kazimierskiego, Andrzej Góraka i Eugeniusza Molgi
Jacek Szabela

Współpraca Politechniki Łódzkiej z niemiecka uczelnią TU Dortmund rozszerzyła się o możliwość przeprowadzania wspólnych przewodów doktorskich. Dzięki temu międzynarodowe kontakty zyskały w sferze nauki dodatkowy wymiar.




  Od nowatorskiej myśli do sukcesu

Postaci ważne w historii rozwoju IFE
Skynetic

W 2017 roku Centrum Kształcenia Międzynarodowego Politechniki Łódzkiej, znane na świecie jako International Faculty of Engineering (IFE), obchodzi ćwierćwiecze istnienia. Jubileusz IFE świętowano w gronie kilkuset gości. O spotkaniach absolwentów z wykładowcami i wyjątkowej Gali piszemy w oddzielnym artykule. Tu przemierzamy minione lata, od wizjonerskiego pomysłu po czas obecny.



  Jak mikroorganizmy produkują osłonki nerwowe

Dwudniowa błona celulozowa w hodowli stacjonarnej bakterii Gluconacetobacter xylinus
źródło: Ludwicka K, et al. Chapter 9 - Medical and Cosmetic Applications of Bacterial NanoCellulose. In: Bacterial Nanocellulose. Elsevier; 2016. p. 145–65.

Wytwarzana przez mikroorganizmy celuloza bakteryjna (bionanoceluloza) ze względu na swoje nadzwyczajne właściwości znajduje zastosowanie w przemyśle papierniczym i tekstylnym, w elektronice (papier elektroniczny, membrany głośnikowe) i przemyśle spożywczym (tradycyjny deser Filipińczyków „nata de coco”). Jako biomateriał o niezwykłej biokompatybilności znajduje coraz szersze zastosowanie w medycynie, zarówno do użytku zewnętrznego (wilgotny opatrunek) jak i wewnętrznego (implant).



  Władze deklarują wsparcie dla Łodzi

Uczestnicy panelu: wicepremier, minister kultury i dziedzictwa narodowego prof. P.Gliński, wiceminister rozwoju dr inż. J.Kwieciński, prezes KGHM Polska Miedź R.Domagalski-Łabędzki, prezes ŁSSE M.Michalik oraz rektor PŁ prof. S.Wiak,
Radosław Wojtczak

Rektor Politechniki Łódzkiej prof. Sławomir Wiak wziął udział w dyskusji panelowej poświęconej perspektywom rozwojowym Łodzi.




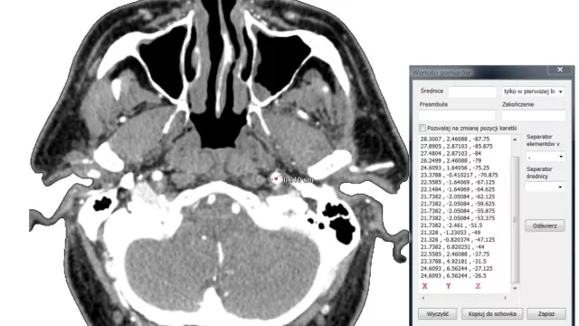
  Rozwiązanie, które łączy zalety

Wyznaczenie trajektorii naczyń
mat. autora

Jedną z przyczyn migrenowego bólu głowy, zawrotów czy omdleń mogą być problemy z niedokrwieniem mózgu. Do diagnostyki lekarze wykorzystują ultrasonografię dopplerowską lub tomografię komputerową. Zalety obu metod łączy zastosowanie narzędzi do modelowania przestrzennego oraz numerycznej mechaniki płynów opracowane w Instytucie Maszyn Przepływowych.





  Medale na IWIS 2017

Od lewej: dr inż. R.Olbrycht, dr inż. M.Stegliński, dr hab. inż. J.Sawicki, dr inż. M.Kasieczka-Burnecka, dr M.Prochoń, prof. S.Bielecki, mgr inż. T.Pankiewicz, dr n.med. M.Kołodziejczyk, dr inż. K. Ludwicka, dr inż. A. Rylski
arch. A.R.

11. edycja Międzynarodowej Wystawy Wynalazków IWIS 2017 zgromadziła wystawców z 32 państw. Wynalazki opracowane w Politechnice Łódzkiej znalazły uznanie i otrzymały medale.